Get a Sparkling Smile with
Tooth Scaling and Polishing Services

5 Star Rating
with over 100+ Reviews

Latest Technologies

Stay ahead with us – we're equipped with the latest tech for effective treatment enhancements.

Innovative Technology

We're all about making you feel right at home, focusing on your comfort and unique needs every step of the way.

Certified Experts

Rest assured, you're in the hands of experienced professionals who care about your well-being.

Reveal Your True Smile with our Scaling and Polishing Services

Scaling and polishing are fundamental components of routine dental care, essential for maintaining optimal oral health and achieving a brilliant, confident smile. These non-invasive procedures, performed by skilled dental professionals, are at the heart of our commitment to your well-being at Reveal Medical Center.

Scaling involves the meticulous removal of plaque and tartar from tooth surfaces while polishing leaves your teeth gleaming and smooth. Together, they prevent gum disease, and tooth decay, and enhance both your oral health and the aesthetics of your smile. In this introduction, we’ll delve into the significance of scaling and polishing, explaining how these procedures contribute to your overall dental wellness and provide you with a brighter, more vibrant smile.

Book an Appointment

Discover the Benefits of Scaling and Polishing

This routine dental procedure is vital for not only preventing dental issues but also enhancing the overall appearance of your smile. At Reveal Medical Center, we’re dedicated to helping you achieve and maintain a healthy, radiant smile, and scaling and polishing play a key role in this mission. Scaling and Polishing gives the following benefits:

Scaling and Polishing Procedure at Reveal Medical Center

At Reveal Medical Center, we’re dedicated to delivering top-notch dental care, and our scaling and polishing procedure is an integral part of your journey to a healthier, more confident smile.

Your journey to a healthier smile begins with a warm welcome to Reveal Medical Center. Our experienced dental professional will start by examining your mouth, assessing the condition of your teeth and gums, and noting the extent of plaque and tartar buildup. This initial assessment is essential in tailoring your treatment plan to your specific needs.

 

Before we commence, we’ll ask you to rinse your mouth to clear away any loose debris. You’ll be provided with protective eyewear for added comfort and a bib to shield your clothing during the procedure.
Our skilled dental hygienist will employ specialized instruments known as scalers or curettes to gently remove plaque and tartar from the surfaces of your teeth. This process involves thorough scraping of these deposits from both above and below the gumline, with particular attention to those hard-to-reach areas.
After the scaling phase, we transition to polishing. Using a rotating rubber cup or brush and a mildly abrasive toothpaste-like material, we’ll polish your teeth. This step is crucial in eliminating any remaining plaque and surface stains, leaving your teeth smooth and brilliantly shiny.
Following the polishing, we’ll ask you to rinse your mouth to ensure all residual polishing material is removed. Your mouth will feel refreshed and revitalized.
For some patients, an application of fluoride gel or solution may be recommended. Fluoride strengthens tooth enamel and reduces sensitivity. This step is typically optional and tailored to your specific dental requirements.
Your dental professional at Reveal Medical Center will provide you with post-treatment advice, including essential instructions for maintaining optimal oral hygiene. We may also offer dietary recommendations and, if needed, schedule follow-up appointments for any specific dental concerns.
To maintain your radiant smile and excellent oral health, we’ll assist you in scheduling your next scaling and polishing appointment. The frequency of these visits can vary according to your unique dental needs, but regular check-ups are often recommended every six months.

Hear From Our Customers

Dr. Alaa Abou Laban

Meet Dr. Alaa Abou Laban

Implantologist
At Reveal Medical Center, we stand out as your premier choice for scaling and polishing services in Dubai. Our dedicated team of experienced dental professionals prioritizes your oral health and the beauty of your smile. With state-of-the-art facilities and a commitment to excellence, we provide personalized, comfortable, and comprehensive dental care.
Our rigorous attention to detail ensures that you receive the highest standard of treatment, leaving you with a refreshed and confident smile. Choose Reveal Medical Center for a dental experience that goes beyond expectations and transforms your oral health and appearance.

Get In Touch With Us!

Book your appointment at Reveal Medical Center for hassle-free treatment. 

Call us at:

+971 4 385 0250

Get Directions:

401 Elite Business Centre Community، 373 Street 3، Al Barsha 1 – Dubai

Email us at:

info@reveal.ae

Book an Appointment

Customized Scaling and Polishing Options at Reveal Medical Center

The choice of scaling and polishing type or option depends on your oral health condition, preferences, and your dentist’s recommendations during your dental check-up. It’s important to discuss with your dental professional at Reveal Medical Center, which type is most suitable for you to ensure the ideal outcome for your oral health and smile.

Regular Scaling and Polishing

This is the standard cleaning procedure performed during a routine dental check-up. It involves the removal of plaque and tartar from the tooth surfaces and polishing to give your teeth a smooth and shiny appearance.

Deep Scaling (Root Planing)

Deep scaling is recommended for individuals with advanced gum disease (periodontitis). It involves a more intensive removal of tartar not only from the tooth surfaces but also below the gumline, targeting the root surfaces. This is often done under local anesthesia to ensure patient comfort.

Air Polishing

Air polishing is an alternative to traditional polishing. It uses a high-pressure stream of air, water, and fine powder to remove stains and plaque from the teeth. It’s efficient and can be a good option for those with sensitivity to traditional polishing methods.

Ultrasonic Scaling

Ultrasonic scalers use high-frequency vibrations to remove plaque and tartar from the teeth. They are often preferred for their efficiency and are less likely to cause discomfort during the procedure.

Laser Scaling

In some cases, dental professionals may use laser technology for scaling. Laser scaling is efficient and can be less invasive, making it a good choice for specific cases, particularly when dealing with periodontal disease.

Chemical Scaling

Chemical scaling involves the use of special solutions or gels to soften and dissolve tartar deposits on the teeth. After the chemical solution is applied, the dental professional can then gently remove the softened deposits.

Fluoride Treatment

After scaling and polishing, a fluoride treatment may be offered. Fluoride strengthens tooth enamel and reduces sensitivity. It can be particularly beneficial for those at higher risk of tooth decay.

Customized Care Plans

Dental professionals will tailor the scaling and polishing treatment to meet your specific needs and concerns. They may suggest more frequent appointments if you have a higher risk of dental issues or a personalized oral hygiene plan.

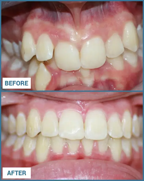
Witness the Remarkable Transformation

Explore our gallery of dental transformations. Witness the incredible difference in smiles after experiencing the expert scaling and polishing services at Reveal Medical Center. Discover the potential for a brighter, healthier smile in our stunning images.

Frequently Asked Questions

What is Scaling and Polishing?
Scaling and Polishing is a dental procedure that involves the thorough cleaning of your teeth. It’s a non-surgical process performed by our skilled dental hygienists to remove plaque, tartar, and stains from the tooth surfaces.
Why is Scaling and Polishing necessary?
Over time, plaque and tartar can accumulate on your teeth, leading to issues like gum disease and tooth decay. Scaling and Polishing help prevent these problems, ensuring your oral health remains at its best.
Does the procedure hurt?

Not at all. Scaling and Polishing is a painless procedure. However, if you experience discomfort. How long does the treatment take?comfort or have sensitive teeth, please inform our dental team, and we’ll take extra care to make you as comfortable as possible.

How long does the treatment take?
On average, the procedure can take between 30 minutes to one hour, depending on the extent of cleaning needed. Rest assured; our skilled team will work efficiently to ensure a comfortable experience.
Is Scaling and Polishing safe for everyone?
Yes, it’s safe for most people. However, if you have specific dental conditions or concerns, please discuss them with our dental professionals during your consultation.
How often should I get Scaling and Polishing done?

We recommend scheduling Scaling and Polishing every six months to maintain optimal oral health. For some patients with a higher risk of dental issues, more frequent appointments may be necessary.

Will my teeth become more sensitive after the procedure?
Some patients may experience mild sensitivity after Scaling and Polishing, but it’s usually temporary. We can recommend toothpaste for sensitive teeth if needed.
Can Scaling and Polishing whiten my teeth?
While it can remove some surface stains, it’s not a teeth-whitening treatment. For a brighter, whiter smile, we offer professional teeth whitening services as well.
Are there any post-treatment care instructions?
After the procedure, it’s essential to maintain proper oral hygiene. Our dental team will provide instructions on brushing, flossing, and any necessary follow-up appointments.
How can I schedule a Scaling and Polishing appointment at Reveal Medical Center?
Scheduling an appointment is easy. You can contact our friendly reception team via phone, email, or our website. We’ll find a convenient time for your visit and provide any additional information you may need.

WHERE TO FIND US

Discover us in the heart of Al Barsha, just a 5-minute drive from the Mall of Emirates and conveniently situated across from LULU Hypermarket. Click the ‘Directions’ link below to navigate from your location to Reveal Medical Center, your trusted dental clinic in Al Barsha 1, Dubai.
Scroll to Top
My cart
Your cart is empty.

Looks like you haven't made a choice yet.